Get in touch
Office: (619) 469-4185
Dental Emergencies:
(858) 472-0054
gsmiledmd@sbcglobal.net
Find Us
5565 Grossmont Center Drive
BLDG # 1-209,
La Mesa, CA 91942
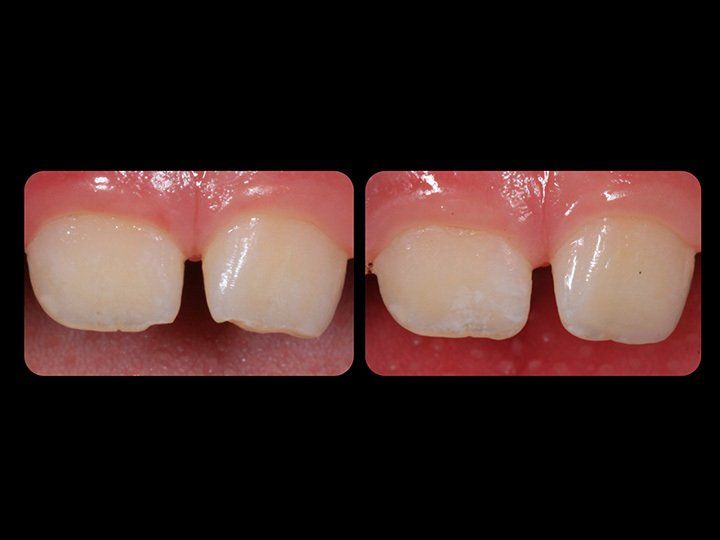
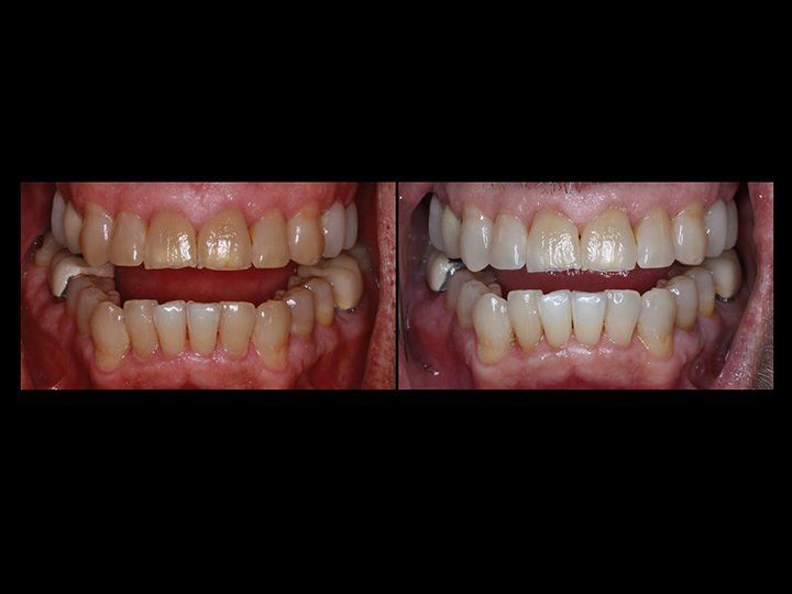
All photographs in our before and after gallery are of actual patients of Drs. Judemar and Eileen Dimapilis, D.M.D.
Mon: 7:30am-5:00pm
Tues: 7:30am-5:00pm
Wed: 7:30am-5:00pm
Thurs: 7:30am-5:00pm
3760 Convoy St.
Suite 330
San Diego, CA 92111